
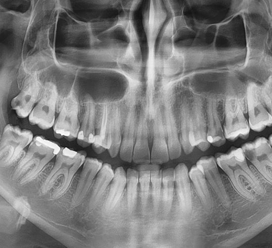
Radiografia dentară digitală este extrem de utilă în diagnosticarea unei afecțiuni dentare, oferindu-i medicului o unealtă extrem de precisă în detalii și măsurători pe baza cărora medicul poate evalua cantitatea și calitatea structurii osoase, poate vedea structuri anatomice precum nervii sau sinusurile maxilare.
Radiografia dentară intraorală periapicală prinde pe filmul digital întregul dinte de la coroană, până la rădăcină și țesuturile osoase de suport. Radiografia dentară periapicală ne ajută să identificăm anomalii la nivelul rădăcinii și a structurii osoase a dintelui.